Ä¡·á»ç·Ê

Áø·á°ú¸ñ ÀϹÝÁø·á
¼º¸í °ü¸®ÀÚ À̸ÞÀÏ 10sm08@naver.com
Á¶È¸¼ö 680ȸ ÀÛ¼ºÀÏ 2010-09-01 17:36:48
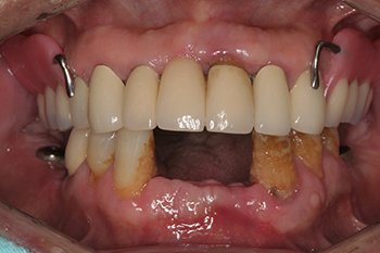
»ó¾ÇºÎºÐƲ´Ï

¾ç ¿·ÀÇ Ä¡¾Æ¸¦ Ʋ´Ï °í¸®¿¡ ¾Ë¸Â°Ô Á¦ÀÛÇϰí ÀÌ¿¡ ¸ÂÃß¾î ºÎºÐÆ²´Ï¸¦ ÇÑ Áõ·ÊÀÔ´Ï´Ù.
ÇϾÇÀº ÀÓÇöõÆ® °èȹÇÏ¿¡ Ä¡·áÁßÀÔ´Ï´Ù.