Ä¡·á»ç·Ê

Áø·á°ú¸ñ ÀϹÝÁø·á
¼º¸í °ü¸®ÀÚ À̸ÞÀÏ
Á¶È¸¼ö 1315ȸ ÀÛ¼ºÀÏ 2010-09-16 16:04:06
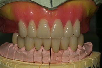
»ó¾ÇÀüüƲ´Ï ÇÏ¾Ç ºÎºÐƲ´Ï Áõ·Ê

»ó¾Ç ÀüüƲ´Ï, ÇÏ¾Ç 9°³ Ä¡¾Æ¿¡ ½ÉÇÑ ÃæÄ¡·Î Å©¶ó¿î ¹× ºÎºÐƲ´Ï Áõ·ÊÀÔ´Ï´Ù.